En la Clínica dental Ferrus & Bratos, expertos en Invisalign Madrid, transformamos sonrisas con una de las tecnologías más avanzadas en ortodoncia digital e invisible.
Contamos con un equipo de ortodoncistas con máster oficial y la distinción Invisalign Diamond Provider, que combina diagnóstico digital 3D y planificación personalizada para lograr resultados naturales, estéticos y totalmente predecibles.
Invisalign es una técnica moderna de ortodoncia que alinea los dientes mediante férulas transparentes, removibles y diseñadas a medida. El tratamiento evita el uso de aparatos metálicos, ofreciendo una experiencia estética, cómoda y discreta.
Cada alineador se fabrica con tecnología digital avanzada, usando el software ClinCheck®, que permite prever el resultado final antes de iniciar el tratamiento con Invisalign en Madrid.
Este sistema se basa en dos pilares clave:
Planificación digital 3D
cada micromovimiento es trazado con precisión milimétrica.
Alineadores progresivos:
se cambian cada 7–14 días y se usan al menos 22 horas diarias.
Gracias a esta innovación, Invisalign Madrid permite tratar desde casos leves hasta maloclusiones complejas con total eficacia.
¿Qué problemas soluciona Invisalign Madrid?
El tratamiento con Invisalign Madrid está indicado para:
Apiñamiento dental y desalineaciones.
Diastemas (espacios entre dientes).
Mordida cruzada, abierta o profunda.
Asimetrías dentofaciales leves
Recaídas tras ortodoncia previa.
Es ideal para quienes desean discreción, resultados efectivos y un tratamiento compatible con su estilo de vida sin brackets.
Ventajas de Invisalign Madrid: comodidad, estética y precisión digital
Descubre por qué Invisalign es la opción favorita en Madrid para quienes buscan una ortodoncia invisible, cómoda y eficaz. A continuación, te mostramos todas las ventajas de los alineadores transparentes que transforman tu sonrisa sin alterar tu día a día.
Removible
Con Invisalign Madrid, puedes quitarte las férulas para comer o cepillarte los dientes. No altera tu dieta ni tu higiene diaria.
Transparente
Los alineadores Invisalign son casi invisibles incluso a corta distancia, permitiéndote sonreír y hablar con total naturalidad.
Cómodo
Fabricados con material SmartTrack®, los alineadores no tienen partes metálicas y evitan rozaduras o urgencias dentales.
Predecible
Gracias al software 3D ClinCheck®, puedes ver el resultado final antes de empezar. Tu tratamiento es preciso y controlado.
Personalizado
Cada férula se diseña a medida según tu anatomía y tus objetivos estéticos, garantizando un ajuste perfecto y eficaz.
Higiénico
Los alineadores removibles facilitan la limpieza y evitan la acumulación de placa, asegurando una higiene bucodental óptima.
¿Qué tipos de Invisalign existen y cuál es el más adecuado?
Tipo
Indicación
Duración
Tipo
Invisalign Express
Indicación
Casos leves
Duración
3-6 meses
Tipo
Invisalign Lite
Indicación
Maloclusiones moderadas
Duración
6-12 meses
Tipo
Invisalign Comprehensive
Indicación
Casos complejos
Duración
12-24 meses
Tipo
Invisalign Teen
Indicación
Adolescentes
Duración
12-24 meses
Tipo
Invisalign First
Indicación
Niños en dentición mixta
Duración
Variable
Existen distintos tipos de Invisalign, adaptados a la edad, complejidad del caso y objetivos del paciente. En la Clínica Dental Ferrus & Bratos, nuestros ortodoncistas certificados te ayudarán a elegir la versión más adecuada para conseguir una sonrisa alineada y natural.
Ideal para casos leves o moderados, donde se requieren movimientos dentales mínimos. Incluye hasta 14 juegos de alineadores y suele completarse en 6 a 12 meses. Es una opción rápida y eficaz para quienes buscan resultados visibles en poco tiempo.
Recomendado en maloclusiones complejas o tratamientos integrales. No tiene límite de alineadores y su duración media oscila entre 12 y 24 meses, dependiendo del caso. Permite planificar cada movimiento con total precisión digital.
Diseñado para adolescentes, combina discreción y control. Incluye un indicador azul que muestra el tiempo de uso y ayuda a los ortodoncistas y padres a seguir la evolución. Además, Invisalign repone hasta 3 férulas sin coste adicional en caso de pérdida o rotura.
Pensado para niños en dentición mixta, corrige problemas tempranos y guía el crecimiento dental y óseo. Mantiene la comodidad de los alineadores transparentes, pero con un diseño adaptado a bocas en desarrollo.
Cada tipo de Invisalign Madrid se personaliza según tu sonrisa y estilo de vida. En tu primera consulta gratuita, realizamos un diagnóstico digital 3D para determinar cuál es el tratamiento ideal para ti.
Precio del tratamiento con Invisalign
La marca Invisalign lleva reconociendo al equipo de la Clínica Ferrus & Bratos muchos años como
especialistas para realizar sus tratamientos.
La
versión de Invisalign y el tiempo de la ortodoncia
son los factores que afectan al precio del tratamiento. Para determinar el coste,
necesitamos realizar previamente un estudio de ortodoncia.
Una vez hecho, te daremos
un presupuesto cerrado que contiene todos los conceptos
para tu tratamiento: el propio estudio, higienes dentales, los juegos de férulas
necesarias, los retenedores, las posibles urgencias y todas las revisiones durante y
posteriores a la ortodoncia.
Precio
Duración
Invisalign maloclusión leve
Precio
3.710€
Duración
12 meses
Invisalign maloclusión moderada
Precio
4.546€
Duración
18 meses
Invisalign maloclusión severa
Precio
5.846€
Duración
24 meses
Invisalign Teen
Precio
5.846 €
Duración
Según severidad
Invisalign First
Precio
2.868 €
Duración
Según severidad
Consulta
tu ortodoncia con Invisalign con tu doctor
Solo tras recibir
la valoración por parte de nuestro equipo de ortodoncista podremos decirte qué tipo de Invisalign
es el que necesitas para corregir tu maloclusión. En función de tu caso, el precio de la
ortodoncia puede variar.
¿Quieres conseguir una sonrisa estética?
Hazlo de una forma cómoda y sin que afecte a tu imagen con Invisalign
¿Te has decidido por probar Invisalign? Te contamos cuál es el proceso de tu tratamiento de
ortodoncia invisible. En tu primera visita, un doctor especialista en ortodoncia realizará un
estudio de ortodoncia. .
Este incluye
pruebas diagnósticas
que valorará después todo el equipo para crear un diagnóstico integral junto a tu plan de
tratamiento personalizado.
En nuestra clínica disponemos de todo el equipamiento técnico necesario para realizar todo tipo de
pruebas, por lo que no necesitas ir a otros centros. Además, en esta cita podrás analizar con el
doctor cuáles son tus
expectativas estéticas
y los objetivos de tu sonrisa.
Fabricación personalizada de férulas
La planificación de cada micromovimiento dental se realiza en un ordenador a través del
software ClinCheck.
El ortodoncista sabe en qué posición estarán los dientes en todo momento, así que también diseña
cada una de las férulas que vas a necesitar a lo largo de tu ortodoncia hasta conseguir el
resultado esperado.
Una vez hecha la planificación, encargamos los juegos de alineadores, que llegan en un plazo de 8
a 10 días.
En que consiste el Clincheck de Invisalign
Se confeccionan en las instalaciones de Align Technology, en Estados Unidos. Allí también enviamos
de forma telemática un modelo virtual de la boca, que hemos realizado gracias a un
escáner intraoral en 3D
. En la siguiente consulta, el ortodoncista coloca el primer juego de férulas de Invisalign y te
explica qué cuidados debes seguir a partir de ahora.
¡Has iniciado tu tratamiento!
Transcurso de la ortodoncia
En tu día a día, debes llevar puestos los alineadores un
mínimo de 22 horas diarias
. Esto quiere decir que únicamente deberías retirarlos de la boca para lavarte los dientes y para
comer. Llevarlos menos tiempo supone un retraso en los plazos previstos de tu tratamiento, aunque
de forma puntual puedes prescindir de las férulas para algún evento social.
Ampliar imagen
juego de
alineadores
En cada
revisión
con tu ortodoncista, te entregaremos nuevos juegos de férulas y verificaremos que el tratamiento
cursa sin inconvenientes. Estas citas tienen una duración de 15 minutos y se pautan
cada 4 o 6 semanas
. Esta periodicidad resulta especialmente cómoda para personas que viven fuera de Madrid o que
viajan con mucha frecuencia.
A medida que avanza el tratamiento, el ortodoncista te indicará cuándo colocará los
ataches
, si es que fuera necesario. Cada uno de estos aditamentos ayuda a la férula a realizar un
movimiento concreto, y no tiene por qué permanecer en el mismo diente a lo largo de toda la
ortodoncia.
Refinamiento de Invisalign
Hemos explicado que, tras la planificación, pedimos de una sola vez todos los juegos de férulas
que vas a necesitar. Sin embargo, hay veces en las que
aún pueden obtenerse mejores resultados
o realizar ciertos perfeccionamientos en la sonrisa.
En estos casos, realizamos un nuevo pedido de varios juegos de alineadores, una fase conocida como
refinamiento de Invisalign
. Según cada paciente, diseñamos un número mayor o menor de férulas.
Uso de retenedores
La
fase de retención
es común a cualquier tratamiento de ortodoncia, sin importar el sistema elegido. Es una etapa que
comienza cuando retiramos los aparatos y, en este caso, cuando quitamos el último juego de
alineadores.
La etapa de retención es la única forma de mantener de por vida los resultados obtenidos con la
ortodoncia, ya que las piezas tienen memoria y tienden a volver a su posición inicial.
Para evitarlo, colocamos
retenedores fijos y removibles
en ambas arcadas:
Retenedores removibles o Essix
: tienen un aspecto muy similar a una férula de Invisalign. El primer mes tras acabar la
ortodoncia, deberás llevarlo puesto todo el día, quitándolos únicamente para comer y lavarte
los dientes. A medida que pase el tiempo, puedes reducir el tiempo de uso hasta ponerlos solo
por la noche. Tu dentista te irá informando de cuándo hacer este cambio.
Retenedores fijos:
son unos finos alambres que se colocan en la cara interna de los dientes superiores e
inferiores.
La etapa de retención es tan importante como las fases anteriores de la ortodoncia, ya que es la
única manera de asegurar los resultados a largo plazo
Revisiones tras la ortodoncia
Una vez iniciada la etapa de retención, las revisiones se pautan cada
uno, tres, seis y doce meses.
Con estas consultas podremos verificar que los resultados de la ortodoncia se mantienen y también
detectaremos a tiempo cualquier problema relacionado con tu salud bucodental.
Consejos para que la ortodoncia con Invisalign sea un tratamiento efectivo
Para que la planificación y los tiempos previstos de la ortodoncia se cumplan, Invisalign requiere
de la
implicación del paciente
. Por eso, conviene seguir una serie de consejos y pautas para llegar a los objetivos en el plazo
esperado.
Cuándo debes llevar las férulas
Los alineadores debes llevarlos puestos todo el día, prescindiendo de ellos exclusivamente para
comer y lavarte los dientes. Cada vez que te quitas las férulas, no hay ningún aparato ejerciendo
fuerza sobre los dientes y, por ello, en este tiempo no hay avances. Por esto, las férulas deben
llevarse un
mínimo de 22 horas cada día
.
Los hábitos de
picar entre horas o fumar
están desaconsejados, puesto que obligan a retirar los alineadores. No importa que no los lleves
de forma puntual, pero debe ser una excepción dentro de tu tratamiento.
Mantén una buena higiene bucodental
Este sistema removible no afecta en absoluto a tu higiene oral, pero mientras estés con la
ortodoncia, la higiene debe ser muy exhaustiva. Recuerda lavarte siempre los dientes antes de
volver a ponerte las férulas para evitar la aparición de caries.
¡Ah! Y no te limites al uso del cepillo: el
hilo dental, los cepillos interproximales y el colutorio
son tus grandes aliados para asegurar una óptima salud oral.
Ampliar imagen
Lavar las
férulas
Cuida de tus alineadores
Aunque los alineadores se cambian cada dos semanas aproximadamente, debes limpiarlos a diario cada
vez que te los quites. Hacerlo es muy sencillo: tan solo necesitas un
jabón neutro, agua y un cepillo.
Asegúrate de secar bien las férulas antes de guardarlas en su caja para que no adquiera malos
olores. No está de más que semanalmente sumerjas los alineadores y su caja en un vaso de agua con
una
pastilla especial para limpiar prótesis
.
Acude a tus revisiones con el ortodoncista
Las revisiones son esenciales en toda ortodoncia: no solo no permite tener un control sobre los
avances del tratamiento, sino
detectar cualquier problema que pueda surgir
y comprometer tu salud bucal. Por eso, no aplaces las revisiones previstas y sigue siempre las
indicaciones de tus especialistas.
Respeta la fase de retención
Tras finalizar el tratamiento, es importante
mantener de por vida la sonrisa
que tantos meses te ha costado conseguir. Para lograrlo, respeta la fase de retención y recuerda
que es tan importante como cualquier otra fase de la ortodoncia.
Preguntas frecuentes sobre Invisalign
A continuación, te ofrecemos la respuesta a las diez preguntas sobre Invisalign que más nos
hacen nuestros pacientes:
Una vez que te acostumbres a llevar las férulas,
puedes hablar con absoluta normalidad.
Vas a tener un cuerpo extraño en la boca al que tendrás que habituarte, pero
este periodo tan solo dura 2 o 3 días
¿Puedo comer y beber lo que quiera durante el tratamiento?
¡Puedes! Invisalign
no tiene ninguna restricción en cuanto a la dieta
, ya que debes quitarte las férulas para comer. En cuanto a las bebidas,
puedes tomar agua con ellas puestas, pero te recomendamos retirarlas si vas a
ingerir algún líquido
con coloración, como el café o un refresco.
De este modo evitarás una merma de la estética por la tinción de los
alineadores. Recuerda que, tras tomar bebidas azucaradas, debes lavarte los
dientes ya que el azúcar permanece en tus dientes.
Depende de la frecuencia
con la que fumes. Si es puntual, te aconsejamos quitarte los alineadores para
evitar que adquieran malos olores y se vuelvan amarillentos. Pero si fumas con
frecuencia, es preferible que los mantengas, ya que la ortodoncia pierde
eficacia si no cumples con las 22 horas diarias de uso. Si este es tu caso,
lava con más frecuencia las férulas.
Como especialistas,
siempre recomendamos evitar el consumo de tabaco
por ser perjudicial para la salud oral, pero si no puedes erradicar este
hábito, intenta reducirlo todo lo que te sea posible.
Al menos 22 horas al día.
Solo cumpliendo este tiempo la ortodoncia podrá evolucionar según lo previsto
por tu ortodoncista y no sufrir retrasos. .
Si tengo bruxismo, ¿puedo llevar Invisalign?
Si tienes bruxismo y eres consciente de ello, lo más recomendable es informar
al ortodoncista. Si no se trata de un caso muy agudizado, Invisalign es
totalmente compatible con el rechinamiento dental.
¿Puedo llevar Invisalign si tengo periodontitis?
Siempre que la enfermedad periodontal se haya tratado y esté controlada, no
hay ningún problema en llevar Invisalign.
De hecho, siempre recomendamos a nuestros pacientes con periodontitis que
necesitan llevar ortodoncia, optar por los alineadores frente a otros
sistemas.
La razón es que la ortodoncia fija ejerce una mayor presión sobre los dientes,
y si las encías tienden a inflamarse, pueden tener un peor pronóstico.
¿Puedo llevar Invisalign si tengo implantes, coronas o carillas?
En el caso de los
implantes
, sí es posible llevar Invisalign, pero ten en cuenta que ese diente no puede
moverse. El implante está integrado al hueso dental, así que es necesario
tenerlo en cuenta a la hora de planificar el caso. Invisalign es el único
sistema de ortodoncia que permite mover los dientes de forma aislada y no en
bloque, así que si llevas implantes y necesitas ortodoncia, es el mejor método
para ti.
Respecto a las carillas y coronas, no hay ninguna contraindicación, así que
es posible usar alineadores
. Eso sí, una vez finalice el tratamiento, es posible que haya que sustituir
las coronas o carillas, ya que las piezas estarán en otra posición.
La duración de un tratamiento con Invisalign varía según la severidad del
caso, pudiendo durar
entre 12 y 36 meses
. La parte positiva es que los resultados se empiezan a ver desde los
dos primeros meses
, ya que al no tener un bracket que cubra parcialmente los dientes, el
paciente ve con claridad cómo va cambiando su sonrisa.
¿Podré mantener los resultados toda la vida?
Sí, para este fin existe precisamente la
fase de retención
. Solo usando los retenedores fijos y removibles podrás disfrutar de tu nueva
sonrisa para siempre. Estos “frenos” impiden que los dientes se muevan y
regresen a la posición inicial.
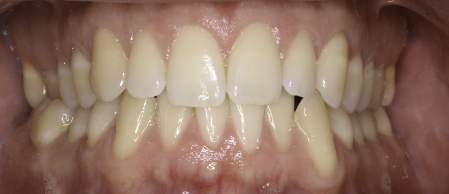
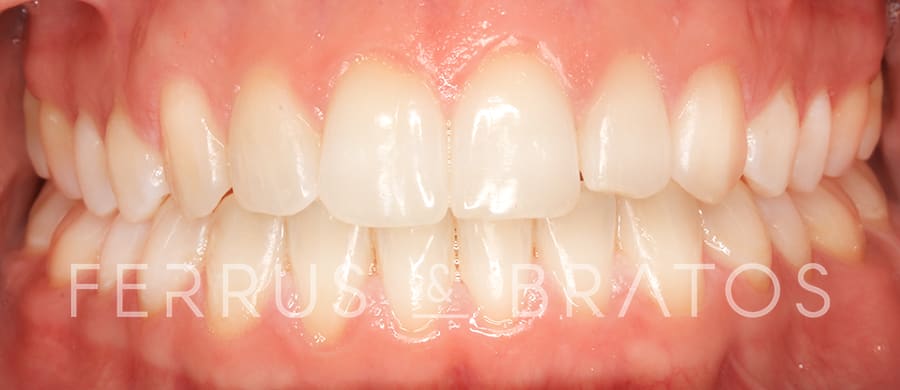
Casos reales
Mirasierra G.
Pedro C.
Antes y después de un tratamiento con Invisalign
Antes
Después
Antes
Después
* El paciente ha dado su consentimiento para la publicación de este caso
10 Razones por las que elegirnos
Profesionales especializados:
Contamos con un equipo de profesionales con gran experiencia en ortodoncia Invisalign.
Trabajamos coordinadamente:
Tanto en tu primera visita como en el desarrollo de tu tratamiento intervendrán
los especialistas de otras áreas relevantes
Docencia y formación continua
Somos docentes en la Universidad, impartimos formación continua y participamos en
congresos nacionales e internacionales de Implantología
Nuestros pacientes están satisfechos
Los pacientes que tratamos comparten su satisfacción con nuestra clínica y nos
recomiendan a sus familiares y amigos.
Resultados óptimos
No damos por finalizado un tratamiento hasta alcanzar un resultado óptimo: el que
se había planificado y que es estable a largo plazo
Tradición familiar
Somos la tercera generación de dentistas, por lo que estamos familiarizados con el
servicio al paciente y priorizamos la salud
Todos los medios técnicos
Contamos con la tecnología para realizar cualquier prueba en nuestra clínica
(escáner intraoral 3D, TAC, radiografía panorámica…)
Equipo reconocido
Nuestro equipo de ortodoncistas ha recibido el reconocimiento Diamond Provider de Invisalign
por el alto número de casos realizados.
Trato cercano y atención personalizada
Contamos con un horario amplio e ininterrumpido y siempre te atendemos los mismos
profesionales, ya que te conocemos y percibimos tus progresos.
Y… muchas más comodidades
Ofrecemos financiación del 100% del tratamiento en 24 meses sin intereses,
facilidades de pago, parking gratuito, etc.
Patricia Bratos es fundadora de la Clínica Dental Ferrus & Bratos, donde
ejerce de ortodoncista. Es licenciada en Odontología y se especializó a través del
Máster en Ortodoncia de la Universidad Complutense de Madrid.
Está acreditada para llevar a cabo cualquier tratamiento ortodóncico, como
Incognito e Invisalign. En este último, cuenta con los máximos reconocimientos:
Invisalign Diamond Provider
-por el número de casos tratados en el último año- y
Club Advantage Elite
-por ser una de los 50 ortodoncistas con más pacientes tratados en Europa, Oriente
Medio y África-. Si quieres sabes más sobre la doctora Bratos puedes consultar su
curriculum vitae
, y su
página personal.
Si has llegado hasta aquí, sabrás a la perfección que Invisalign…
Leer artículo
Gestiona tu privacidad
Utilizamos cookies, incluidas cookies de terceros, para recolpilar información sobre cómo utilizan los visitantes nuestros sitios web. Nos ayudan a que pueda tener la mejor experiencia posible, mejorar continuamente nuestros sitios y ofrecerle información comercial que se adapte a sus intereses. Al hacer clic en el botón “Aceptar todas”, acepta el uso de estas cookies. Puede retirar su consentimiento en cualquier momento, cambiar sus preferencias y obtener información detallada sobre nuestro uso de cookies consultando nuestra Política de cookies y nuestra Política de Privacidad.
Cookies funcionales
Siempre activo
El almacenamiento técnico o de acceso es estrictamente necesario para el propósito legítimo de habilitar el uso de un servicio específico explícitamente solicitado por el suscriptor o usuario, o con el único propósito de realizar la transmisión de una comunicación sobre una red de comunicaciones electrónicas.
Cookies de preferencias
El almacenamiento técnico o acceso es necesario para el propósito legítimo de almacenar preferencias que no han sido solicitadas por el suscriptor o usuario.
Cookies estadísticas
El almacenamiento o acceso técnico que es utilizado exclusivamente con fines estadísticos.El almacenamiento técnico o acceso es usado de forma exclusiva con propósito de recopilación de estadísticas anónimas. Sin una citación, conformidad voluntaria por parte de tu proveedor del servicio de internet o registros adicionales de un tercero, la información almacenada o recuperada para este solo propósito normalmente no puede ser usada para identificarte en ningún caso.
Cookies de marketing
El almacenamiento técnico o acceso es requerido para crear perfiles de usuarios para enviar anuncios, o rastrear al usuario en una web o a través de varias webs para propósitos similares de marketing.