Endodoncia en Madrid: tratamiento indoloro y tecnología de vanguardia
¿Tienes dolor dental intenso o sensibilidad prolongada? Podrías necesitar una endodoncia en Madrid. En Clínica Dental Ferrus & Bratos, realizamos tratamientos de conducto con tecnología de última generación, garantizando intervenciones indoloras, eficaces y totalmente personalizadas.
Especialistas en Endodoncia
Reserva tu cita hoy mismo y descubre el coste de tu tratamiento de endodoncia en Madrid sin sorpresas, con precios cerrados y atención experta.
Además, te informamos de forma clara sobre el precio de la endodoncia en Madrid, para que tomes la mejor decisión sin sorpresas.
Gracias a la experiencia de nuestros especialistas, salvamos piezas dentales que de otro modo se perderían. Si estás buscando endodoncia Madrid con total garantía, confianza y un enfoque honesto, estás en el lugar adecuado.
¿Qué es una endodoncia y por qué se realiza?
La endodoncia, también conocida como tratamiento de conducto, es un procedimiento indicado cuando el nervio del diente está dañado o infectado. Su objetivo principal es conservar el diente natural, evitando así la extracción.
En Clínica Dental Ferrus & Bratos (Madrid), este tratamiento se realiza mediante microscopía dental, aportando una precisión milimétrica en cada fase del proceso.
¿Por qué realizar una endodoncia en Madrid con nosotros?
Preservamos la estética y funcionalidad dental.
Intervenciones con tecnología rotatoria y gutapercha caliente.
Atención multidisciplinar y diagnóstico por imagen avanzado.
Endodoncia
Extracción total o parcial de la pulpa lesionada de un diente y el posterior sellado del conducto pulpar.
¿Por qué se hace una endodoncia?
La endodoncia está indicada cuando el daño en la pulpa dental es irreversible y amenaza la viabilidad del diente natural. En estos casos, solo un tratamiento de conducto puede evitar la extracción. En nuestra clínica en Madrid realizamos este procedimiento con técnicas avanzadas y máxima precisión.
Principales motivos para realizar una endodoncia:
Caries profunda
Si no se trata a tiempo, puede llegar a la pulpa dental, generando dolor, inflamación y posibles abscesos.
Traumatismos dentales
Golpes que, aunque no fracturen el diente, afectan al nervio, dejando la pulpa vulnerable.
Enfermedades periodontales o periapicales
Infecciones que afectan a la raíz o al hueso circundante también pueden requerir una endodoncia.
En casos donde el tratamiento inicial falla o la infección reaparece, realizamos reendodoncias, evitando soluciones más invasivas como extracciones o implantes.
En etapas iniciales, ciertas caries pueden tratarse con un empaste. Sin embargo, cuando el daño es más extenso, la endodoncia es la opción más conservadora y eficaz para salvar la pieza. Si detectas sensibilidad, inflamación o dolor persistente, acude a Clínica Dental Ferrus & Bratos para una valoración inmediata.
¿Cuándo necesito una endodoncia?
Generalmente se indica si tienes alguno de estos síntomas:
Sensibilidad prolongada al frío o al calor
Especialmente al comer alimentos e ingerir bebidas frías o calientes.
Dolor intenso al masticar
Notar cierto dolor o pinchazo en una zona localizada de una pieza dental al hacer
fuerza masticando.
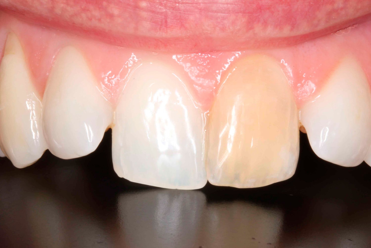
Cambio de color en el diente
Apreciar que un diente se ha oscurecido, adquiriendo una tonalidad amarillenta.
Inflamación o fístula en la encía
Aparición de una pequeña bolita en la encía rellena de pus o de un bulto doloroso.
Si estás en Madrid y tienes alguno de estos signos, nuestros especialistas en endodoncia pueden ayudarte a conservar tu pieza dental.
Tipos de endodoncia según el diente afectado
Endodoncia unirradicular
El diente afectado tiene una sola raíz y un único conducto pulpar: son los incisivos y los caninos.
Endodoncia birradicular
La pieza afectada tiene dos raíces y dos conductos pulpares: premolares.
Endodoncia multirradicular
El diente tiene más de dos raíces y más de dos conductos pulpares: molares.
Recordemos que la endodoncia consiste en vaciar, limpiar y sellar el conducto radicular del diente. Sin embargo, no todas las piezas dentales tienen la misma complejidad, ya que varían en número de raíces y conductos.
Aunque el procedimiento general es el mismo, el tiempo, la dificultad y el coste pueden variar. Por eso, si estás valorando el precio de una endodoncia en Madrid, es importante tener en cuenta cuántos conductos requiere tratar tu diente.
En Clínica Dental Ferrus & Bratos realizamos todas las endodoncias en Madrid con tecnología de precisión y un diagnóstico previo detallado, para garantizar el mejor resultado en cada caso.
¿La endodoncia duele?
No. El tratamiento se realiza con anestesia local y es prácticamente indoloro. Muchos pacientes nos dicen que es similar a hacerse una caries, pero más largo.
Después del procedimiento, puede haber una ligera molestia, pero suele ser manejable con analgésicos comunes.
¿Cuánto cuesta una endodoncia en Madrid?
En Clínica Dental Ferrus & Bratos, disponemos de la tecnología más avanzada para realizar tratamientos de endodoncia en Madrid con máxima eficacia, seguridad y confort para el paciente.
Contar con el mejor equipamiento nos permite:
Reducir la duración del procedimiento.
Aumentar la precisión y calidad del tratamiento.
Minimizar el traumatismo en el tejido dental.
El precio de una endodoncia en Madrid puede variar según distintos factores, siendo el más determinante el número de conductos a tratar. No es lo mismo realizar una endodoncia en un diente unirradicular que en una pieza molar con tres o más conductos.
Por eso, antes de definir el presupuesto, realizamos una evaluación personalizada con diagnóstico radiográfico. Así podemos ofrecerte un plan de tratamiento preciso y adaptado a tu caso, con precio cerrado y sin sorpresas.
Precio
Endodoncia unirradicular
Precio
255 €
Endodoncia birradicular
Precio
310 €
Endodoncia multirradicular
Precio
415 €
Reendodoncia
Precio
450 €
No pienses solo en el precio
Gracias a la
endodoncia podrás conservar tus dientes naturales durante toda la vida, evitando la extracción y
la colocación de un implante. Por ello, ponte siempre en manos de profesionales que te garanticen
los mejores resultados
¿Quieres que estudiemos tu caso?
Revisión y diagnóstico gratuitos
¿Cómo se hace una endodoncia?
Una endodoncia puede realizarse en una o varias sesiones, dependiendo de la complejidad del caso y del estado del diente. En nuestra clínica de endodoncia en Madrid, evaluamos previamente tu situación para ofrecerte la mejor opción en cuanto a planificación y resultados.
A continuación, te explicamos los pasos habituales de una endodoncia profesional:
1. Anestesia local y aislamiento del diente
Aplicamos anestesia local y colocamos un dique de goma, que aísla el diente tratado y aporta mayor comodidad al paciente. Después, accedemos a la cámara pulpar, donde se encuentran los nervios y vasos sanguíneos.
Ampliar imagen
Tratamiento de conducto
2. Eliminación del tejido dañado y limpieza del conducto
Utilizamos un sistema de endodoncia rotatoria con limas motorizadas que permite eliminar el tejido infectado y limpiar en profundidad los conductos.
3. Moldeo de los conductos y obturación con gutapercha caliente
Damos forma cónica a los conductos para facilitar su sellado y utilizamos gutapercha caliente, un material biocompatible que garantiza un cierre hermético.
Ventajas de esta ténica
Reduce molestias postoperatorias
Minimiza el riesgo de fracturas radiculares
Asegura un sellado más efectivo y duradero
Ampliar imagen
Horno para
calentar obturaciones
4. Sellado final del conducto y verificación radiográfica
Comprobamos mediante radiografías que la obturación llega hasta el final del conducto. Un sellado correcto evita filtraciones y garantiza la durabilidad del tratamiento.
5. Reconstrucción del diente tratado
Según el daño de la pieza dental, se opta por:
Poste intrarradicular y corona, especialmente en molares con gran pérdida estructural.
6. Seguimiento clínico
El éxito de una endodoncia en Madrid no termina al salir de la consulta. Realizamos controles clínicos y radiográficos posteriores para verificar que la pieza evoluciona correctamente.
Si estás valorando someterte a este tratamiento, recuerda que el precio de la endodoncia en Madrid puede variar en función de la complejidad y de si se requiere reconstrucción avanzada. En Clínica Dental Ferrus & Bratos te informaremos con total transparencia desde la primera consulta.
Preguntas frecuentes sobre endodoncia
A continuación, respondemos a las dudas más comunes que tienen nuestros pacientes sobre la endodoncia en Madrid:
¿Qué pasa si no me hago una endodoncia?
Si el nervio está infectado y no se trata, la infección puede extenderse, provocar un absceso e incluso poner en riesgo la pieza dental. En muchos casos, la alternativa a no hacerla es la extracción del diente.
¿Se puede repetir una endodoncia?
Sí. Si un tratamiento anterior no resolvió el problema, puede realizarse una reendodoncia, especialmente si se detecta infección persistente.
¿Tendré dolor después de la endodoncia?
Durante el tratamiento de conductos se utiliza anestesia local, por lo que no sentirás dolor mientras se realiza. No obstante, tras el procedimiento, es normal experimentar molestias leves al masticar o al tocar la zona, debido a la inflamación de los tejidos. Estas molestias suelen desaparecer en pocos días y se controlan fácilmente con la medicación prescrita.
La endodoncia está indicada cuando hay infección pulpar, dolor persistente o síntomas como sensibilidad y fístulas. Sin embargo, hay casos en los que no es posible conservar la pieza dental, como:
Fractura vertical de la raíz
Raíces con longitud insuficiente para sujetar una corona
Daño periodontal severo que compromete el soporte del diente
En estas situaciones, se recomienda extraer el diente y considerar alternativas como un implante.
Si estás buscando dónde realizar una endodoncia en Madrid, en Ferrus & Bratos contamos con endodoncistas especializados que trabajan exclusivamente esta disciplina. Gracias a su experiencia y precisión técnica, garantizamos resultados duraderos y mínimamente invasivos.
Disponemos de dos clínicas en Madrid: una en Arturo Soria y otra en el barrio de Salamanca, con tecnología avanzada y atención personalizada para cada paciente.
¿Cuánto dura una endodoncia?
Una endodoncia bien realizada puede durar toda la vida. La longevidad del tratamiento depende de varios factores: ausencia de complicaciones durante el procedimiento, correcta reconstrucción posterior y cuidados del paciente. En nuestra clínica de endodoncia Madrid, realizamos un seguimiento para asegurar la evolución del diente tratado y su funcionalidad a largo plazo.
¿Puedo comer después del tratamiento?
Sí, pero se recomienda esperar a que pase el efecto de la anestesia para evitar morderse accidentalmente. Durante los primeros días, es mejor evitar alimentos muy duros o pegajosos.
Casos reales
El caso de Pedro
* El paciente ha dado su consentimiento para la publicación de este caso
10 Razones por las que elegirnos
Profesionales especializados:
Contamos con un equipo de profesionales con gran experiencia en endodoncias.
Trabajamos coordinadamente:
Tanto en tu primera visita como en el desarrollo de tu tratamiento intervendrán
los especialistas de otras áreas relevantes
Docencia y formación continua
Somos docentes en la Universidad, impartimos formación continua y participamos en
congresos nacionales e internacionales de Implantología
Nuestros pacientes están satisfechos
Los pacientes que tratamos comparten su satisfacción con nuestra clínica y nos
recomiendan a sus familiares y amigos.
Resultados óptimos
No damos por finalizado un tratamiento hasta alcanzar un resultado óptimo: el que
se había planificado y que es estable a largo plazo
Tradición familiar
Somos la tercera generación de dentistas, por lo que estamos familiarizados con el
servicio al paciente y priorizamos la salud
Todos los medios técnicos
Contamos con la tecnología para realizar cualquier prueba en nuestra clínica
(escáner intraoral 3D, TAC, radiografía panorámica…)
Tecnología de última generación
Trabajamos con un microscopio especial para endodoncia, que aumenta 250
veces la visión humana.
Trato cercano y atención personalizada
Contamos con un horario amplio e ininterrumpido y siempre te atendemos los mismos
profesionales, ya que te conocemos y percibimos tus progresos.
Y… muchas más comodidades
Ofrecemos financiación del 100% del tratamiento en 24 meses sin intereses,
facilidades de pago, parking gratuito, etc.
Es posible que en una revisión rutinaria con tu dentista, te informen de que necesitas…
Leer artículo
Gestiona tu privacidad
Utilizamos cookies, incluidas cookies de terceros, para recolpilar información sobre cómo utilizan los visitantes nuestros sitios web. Nos ayudan a que pueda tener la mejor experiencia posible, mejorar continuamente nuestros sitios y ofrecerle información comercial que se adapte a sus intereses. Al hacer clic en el botón “Aceptar todas”, acepta el uso de estas cookies. Puede retirar su consentimiento en cualquier momento, cambiar sus preferencias y obtener información detallada sobre nuestro uso de cookies consultando nuestra Política de cookies y nuestra Política de Privacidad.
Cookies funcionales
Siempre activo
El almacenamiento técnico o de acceso es estrictamente necesario para el propósito legítimo de habilitar el uso de un servicio específico explícitamente solicitado por el suscriptor o usuario, o con el único propósito de realizar la transmisión de una comunicación sobre una red de comunicaciones electrónicas.
Cookies de preferencias
El almacenamiento técnico o acceso es necesario para el propósito legítimo de almacenar preferencias que no han sido solicitadas por el suscriptor o usuario.
Cookies estadísticas
El almacenamiento o acceso técnico que es utilizado exclusivamente con fines estadísticos.El almacenamiento técnico o acceso es usado de forma exclusiva con propósito de recopilación de estadísticas anónimas. Sin una citación, conformidad voluntaria por parte de tu proveedor del servicio de internet o registros adicionales de un tercero, la información almacenada o recuperada para este solo propósito normalmente no puede ser usada para identificarte en ningún caso.
Cookies de marketing
El almacenamiento técnico o acceso es requerido para crear perfiles de usuarios para enviar anuncios, o rastrear al usuario en una web o a través de varias webs para propósitos similares de marketing.