Sin embargo, estos síntomas no deben ser ignorados . La última encuesta sobre Salud Oral en España llevada a cabo por el Consejo General de Odontólogos y Estomatólogos de España afirma que entre el 85 y el 94% de la población adulta padece alguna enfermedad periodontal.
Además, un estudio europeo sobre la salud bucodental publicado por The Journal of Clinical Periodontology afirma que más de la mitad de la población adulta que se encuentra en edad de trabajar padece gingivitis.
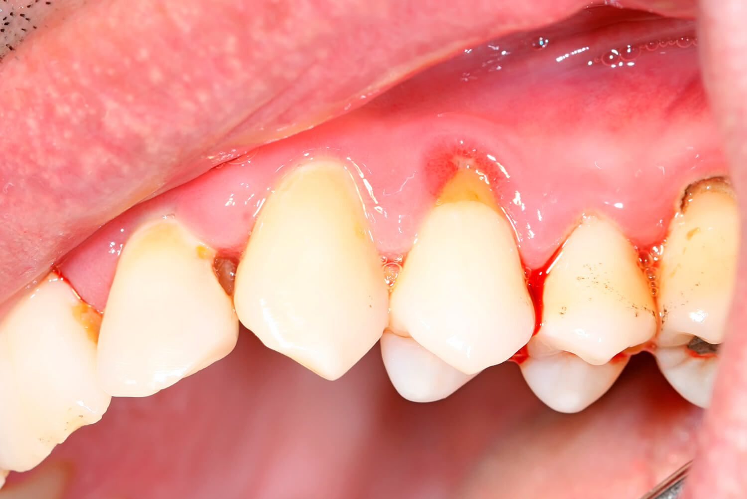
¿Qué es la gingivitis y qué la causa?
La gingivitis es una afección que se engloba dentro de las conocidas como enfermedades periodontales. Se trata de una enfermedad aguda que consiste en la inflamación y sangrado reversible de las encías a causa de la acumulación de placa bacteriana.
Su origen suele estar ligado a una higiene bucodental deficiente. Sin embargo, el mismo se encuentra condicionado a otros factores como la predisposición genética, el consumo de tabaco o alcohol , el estrés, problemas de oclusión dental -dientes mal alineados-, los cambios hormonales -es especialmente común en mujeres embarazadas – o el padecimiento de alguna enfermedad sistémica -por ejemplo, diabetes-.
En un estado inicial, la gingivitis no resulta una amenaza para la estabilidad de nuestros dientes y encías pero, en caso de no ser tratada a tiempo, la misma sigue su curso y deriva en periodontitis.
Comúnmente conocida como piorrea, la periodontitis cursa con la infección de los tejidos de soporte y, en fases más avanzadas, puede provocar movilidad dentaria o incluso la pérdida de las piezas dentales.


