Cómo curar la piorrea y qué es

¿Qué es la piorrea y cómo se cura?

Leer más

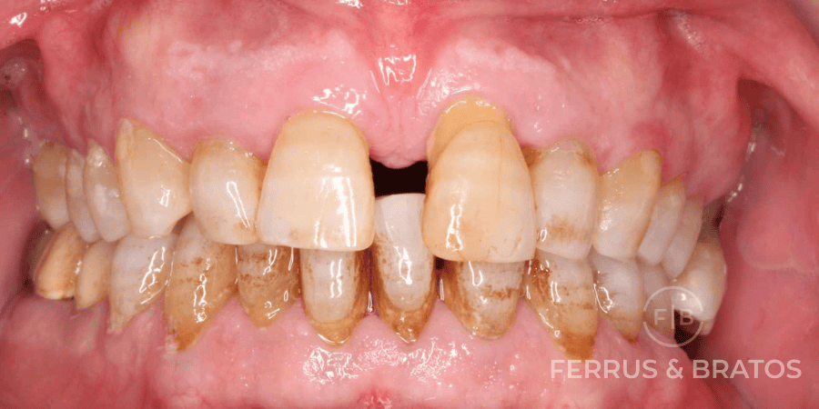
¿Sabías que el sangrado de encías al lavarte los dientes es uno de los primeros síntomas de la piorrea? Esta enfermedad periodontal puede tener consecuencias irreversibles en la salud oral e incluso derivar en la pérdida de dientes si no se aborda correctamente.

Pero solucionar la piorrea es posible y en este artículo te cuento todo lo que debes saber sobre ella: desde cómo identificarla, hasta el tratamiento más efectivo. Además, respondo a las preguntas más frecuentes que me hacen mis pacientes en la clínica.

¿Qué es la piorrea?

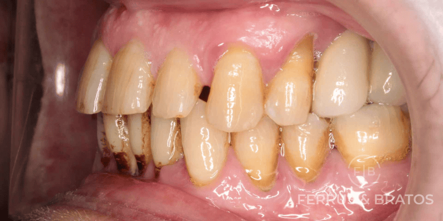
La piorrea o periodontitis es una enfermedad provocada por la excesiva acumulación de bacterias. Con el tiempo, los agentes patógenos siguen avanzando hasta solidificarse (sarro dental) y alcanzar la parte interna de las encías.

La piorrea tiene su origen en otro problema periodontal que no ha sido correctamente tratado y que es consecuencia de un cepillado dental insuficiente: la gingivitis, que es un estadio más leve.

Una vez que se desarrolla periodontitis, se produce la destrucción de los tejidos que rodean al diente (periodonto) y la enfermedad avanza creando las llamadas bolsas periodontales. Son depósitos que se forman debajo de las encías y que alberga cada vez más bacterias, comprometiendo la supervivencia de la pieza dental.

¿Qué síntomas tiene?

Estos son los principales signos de la enfermedad periodontal:

  • Sangrado de encías, tanto espontáneo como durante el cepillado
  • Inflamación e hinchazón de encías
  • Halitosis
  • Mal sabor de boca
  • Dientes amarillentos debido a la acumulación de sarro
  • Enrojecimiento de la encía
  • Aparición de troneras , es decir, pequeños triángulos negros entre los dientes: se produce por la destrucción de las papilas interdentales
  • Retracción de encías: se aprecia un diente más largo en el que la raíz es visible
  • Sensibilidad a cambios de temperatura (frío, especialmente)
  • Destrucción del hueso dental
  • Movilidad y desplazamiento de las piezas dentales
  • Pérdida de los dientes

Estos síntomas pueden ayudarte a identificar la piorrea. Sin embargo, ante la duda, mi recomendación es que acudas a un especialista en Periodoncia . Así, en caso de que exista un problema, podré ayudarte a controlarlo cuanto antes.

Tratamiento de la piorrea en Madrid

Causas

Te he comentado antes que la causa más común es una higiene dental deficiente. Aparte, existen ciertos factores que pueden propiciar su aparición, como:

  • Herencia genética y antecedentes familiares
  • Padecer enfermedades sistémicas o tener defensas bajas: diabetes, sida, tener un trasplante…
  • Consumir tabaco y alcohol
  • Tomar determinados medicamentos, especialmente antidepresivos y otros para el control hormonal
  • Cambios hormonales durante el embarazo (gingivitis gestacional) o en la menopausia
  • Tener dientes desalineados o montados: no poder acceder a los espacios interdentales y recovecos de la boca contribuye a la acumulación de sarro
  • Estrés y ansiedad (gingivitis úlceronecrosante aguda o GUNA)

Fases de la piorrea

En función de la fase en la que se encuentre, la piorrea se puede clasificar en:

  • caso de piorrea leve
    Leve

    Ya se aprecia una notable inflamación generalizada de la encía y en el borde gingival hay una línea amarilla, como consecuencia del sarro. También se nota un mal sabor de boca constante y es posible que la encía sangre al masticar.

  • caso de piorrea moderada
    Moderada

    Se agravan los signos antes mencionados y las encías ya han comenzado a retraerse hacia atrás, dejando a la vista parte de la raíz dental. Además, hay una mayor sensibilidad dental y empiezan a formarse las troneras.

  • caso de piorrea grave
    Severa

    Se acentúan los síntomas de la piorrea moderada, además de haber movilidad de los dientes.

¿Qué tratamiento cura la piorrea?

Es posible curar la piorrea siempre y cuando se cumplan dos condiciones: ponerse en manos de especialistas y cumplir las instrucciones del profesional. En nuestra clínica, ponemos en marcha un tratamiento personalizado en función del estado en que se encuentre la piorrea, así garantizamos que la enfermedad no vuelva a aparecer y asegurando resultados a largo plazo.

Tratamiento Periodontal

En Ferrus&Bratos no solo hacemos un curetaje (raspado y alisado radicular) , sino que el tratamiento tiene pasos extra que aseguran unas encías sanas. Realizamos mediciones de las bolsas periodontales y un análisis microbiológico para actuar contra las bacterias. Después, eliminamos el sarro subgingival mediante un curetaje.

Mantenimiento

Una vez se ha "curado" la enfermedad, empieza una fase igualmente importante: la del mantenimiento, cuyo objetivo es mantener controlada la enfermedad a largo plazo. Incluye visitas periódicas a la clínica cada 3-6 meses y limpiezas profundas en caso de detectar nuevas acumulaciones de sarro.

Cirugía periodontal

En los casos de periodontitis avanzada, los curetajes no son suficientes para eliminar la placa bacteriana. En estos casos, realizamos una intervención que consiste en levantar la encía para acceder a las bolsas periodontales más profundas. Además de esto, hay ocasiones en las que la destrucción ha sido tan importante que es necesario realizar una regeneración de hueso.

Mantener una buena higiene y acudir regularmente a la consulta del dentista son los mejores remedios para prevenir la periodontitis

¿Quién debe tratar la piorrea?

Es imprescindible que el tratamiento contra la piorrea sea planificado y desarrollado por un odontólogo experto en Periodoncia. En Ferrus&Bratos sabemos que un dentista general no puede realizar con igual destreza la totalidad de tratamientos dentales, y por eso creemos en la especialización.

Por eso, contamos con un equipo de profesionales con formación específica y una amplia experiencia para abordar con éxito la enfermedad periodontal.

Acude a un periodoncista

Si tienes piorrea, te recomendamos que acudas a un odontólogo especializado en Periodoncia, en lugar de a un dentista general

Haber tratado a miles de pacientes a lo largo de los años nos convierte en uno de los mejores periodoncistas de Madrid, con técnicas y conocimientos muy amplios para obtener resultados muy eficaces, fiables y predecibles.

Por tanto, si padeces piorrea y acudes a una clínica dental, te recomiendo que te asegures de que llevan a cabo un tratamiento realmente efectivo realizado por especialistas porque la periodontitis no se cura con una simple limpieza bucodental profesional.

Consejos para prevenir la piorrea

Mantener una buena higiene bucal es la mejor manera de controlar los niveles de placa bacteriana y, por tanto, de prevenir la piorrea. Para que sepas qué implica tener una limpieza oral eficiente, aquí te dejo algunos consejos que puedes poner en marcha desde ya para cuidar de tus encías:

  • Lávate los dientes durante, al menos, 2 minutos. No ejerzas demasiada presión en las encías y utiliza un cepillo de cerdas suaves.
  • Cambia tu cepillo cada 3 meses para evitar la acumulación de bacterias.
  • No te olvides de la lengua: es donde mayor número de bacterias acumulamos. Usa un limpiador lingual una vez al día.
  • Incorpora otros utensilios de higiene: hilo dental, cepillos interproximales, enjuagues bucales e irrigador.
  • Al menor signo de sangrado o encías inflamadas, pide cita con un periodoncista para abordar el problema en sus etapas iniciales.
  • Respeta las revisiones marcadas por tu especialista.

Preguntas frecuentes sobre la Piorrea

Me gustaría compartir contigo algunas de las dudas que me hacen con más asiduidad mis pacientes:

  • ¿Es contagiosa?

    Las bacterias que causan la piorrea sí que se pueden contagiar a otra persona, pero esto es altamente improbable. Haría falta un contacto constante entre ambas y un gran intercambio de saliva.

  • Piorrea hereditaria, ¿qué hay que saber?

    Los factores genéticos no se puede cambiar, pero es posible prevenir la piorrea si sabemos que ha habido antecedentes en la familia. Dicho esto, me gustaría aclarar que tener tendencia a la inflamación o sangrado de encías, no significa en todos los casos que se vaya a desarrollar periodontitis. Y lo mismo sucede al contrario: tener encías sanas no significa que sea imposible desarrollarla. Lo más importante es llevar unas rutinas de higiene cuidadas y acudir con regularidad al periodoncista.

  • ¿Qué pasa si fumo y tengo piorrea?

    Como especialista en Periodoncia e Implantes, mi consejo es siempre erradicar el hábito de fumar. Si no es posible, lo mejor es al menos intentar reducir el número de cigarrillos diarios. Las toxinas presentes en el tabaco acentúan la enfermedad periodontal y enmascaran uno de sus principales síntomas: el sangrado. Por eso, muchas veces los pacientes que fuman con frecuencia no han experimentado el sangrado y eso no les ha alertado de que podrían tener un problema de encías. Ha sido ya en su cita cuando he podido diagnosticarle la piorrea.

  • ¿Hay mucha gente con problemas de encía?

    La piorrea es relativamente común entre la población. Aunque cualquier persona es susceptible de padecerla, el problema se manifiesta mayoritariamente en adultos mayores de 35 años.

    De hecho, la Sociedad Española de Periodoncia y Osteointegración (SEPA) calcula que en España el 25,4% de la población de entre 35 y 44 años tiene periodontitis. Este porcentaje se incrementa a medida que la edad de la persona también aumenta: el 38% de la población de entre 65 y 74 años sufre esta enfermedad.

    Debido a su gran incidencia entre la población, en muchas clínicas dentales esta enfermedad es tratada por un dentista general. Sin embargo, lo más adecuado es que los tratamientos periodontales sean llevados a cabo por un odontólogo especializado en Periodoncia.

Ahora que ya conoces en detalle por qué se produce la piorrea y cuál es la mejor forma de tratarla, te animo a que des el paso y pidas una primera cita con nuestro equipo. Te realizaremos de forma gratis un estudio completo, junto a un plan de tratamiento personalizado que devolverá la funcionalidad y estética a tu boca. Puedes contactar con nosotros llamando al 91 768 18 12 (Centro F&B Arturo Soria) o al 91 508 14 48 (Centro F&B Velázquez) o a través del formulario web. ¡Te esperamos!

Casos reales

María B.
Marta D.

Antes y después de curar la piorrea

Antes
Después
Antes
Después
Antes
Después
Antes
Después

* El paciente ha dado su consentimiento para la publicación de este caso

10 Razones por las que elegirnos

  • Profesionales especializados:

    Contamos con un equipo de profesionales con gran experiencia en periodoncia.

  • Trabajamos coordinadamente:

    Tanto en tu primera visita como en el desarrollo de tu tratamiento intervendrán los especialistas de otras áreas relevantes

  • Docencia y formación continua

    Somos docentes en la Universidad, impartimos formación continua y participamos en congresos nacionales e internacionales de Implantología

  • Nuestros pacientes están satisfechos

    Los pacientes que tratamos comparten su satisfacción con nuestra clínica y nos recomiendan a sus familiares y amigos.

  • Resultados óptimos

    No damos por finalizado un tratamiento hasta alcanzar un resultado óptimo: el que se había planificado y que es estable a largo plazo

  • Tradición familiar

    Somos la tercera generación de dentistas, por lo que estamos familiarizados con el servicio al paciente y priorizamos la salud

  • Todos los medios técnicos

    Contamos con la tecnología para realizar cualquier prueba en nuestra clínica (escáner intraoral 3D, TAC, radiografía panorámica…)

  • Marcas de eficacia demostrada

    Trabajamos con las mejores marcas de implantes como Straumann, Avinent ...

  • Trato cercano y atención personalizada

    Contamos con un horario amplio e ininterrumpido y siempre te atendemos los mismos profesionales, ya que te conocemos y percibimos tus progresos.

  • Y… muchas más comodidades

    Ofrecemos financiación del 100% del tratamiento en 24 meses sin intereses, facilidades de pago, parking gratuito, etc.

Dr. Jorge Ferrús
Dr. Jorge Ferrús
Periodoncista e implantólogo / Fundador de la Clínica Dental Ferrus & Bratos

Jorge Ferrús es fundador de la Clínica Dental Ferrus & Bratos, donde ejerce de periodoncista e implantólogo. Es licenciado en Odontología y se especializó a través del Máster en Periodoncia e Implantes de la Universidad Complutense de Madrid. Combina su actividad profesional con la docencia y la investigación, ya que es profesor colaborador del citado máster y autor de diversos artículos aparecidos en publicaciones científicas como Journal of Clinical Periodontology o Clinical Oral Implants Research. Si quieres sabes más sobre el doctor Ferrús puedes consultar su curriculum vitae , y su página personal.

Más artículos sobre Piorrea

Tiene cura la piorrea
Leer artículo

¿Tienes piorrea y te preocupa que no tenga solución? También conocida…

Leer artículo
4