Caso antes y después de ortodoncia con Invisalign
La historia clínica de nuestro paciente:

Pedro

+ Pedro C. Paciente f&B
Leer más
Tratamientos realizados

Ortodoncia con alineadores transparentes Invisalign

 
Doctora responsable:
 

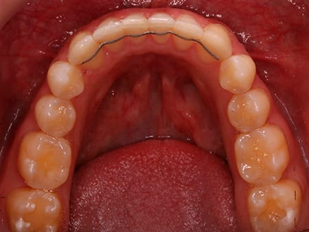
Pedro vino a Ferrus & Bratos porque no estaba contento con su sonrisa. Para poner fin a sus problemas de maloclusión, nuestro equipo de ortodoncistas le recomendó un tratamiento de ortodoncia con alineadores transparentes Invisalign.

Su objetivo era corregir la sobremordida, el apiñamiento y la mordida cruzada posterior con el fin de repartir de manera equitativa las cargas masticatorias y evitar posibles lesiones en los molares.
Tras 18 meses de tratamiento, Pedro ya disfruta de una sonrisa completamente estética y funcional.

 
Antes
Después
Antes
Después
Video

La sonrisa de Pedro

Experiencia de ortodoncia con Invisalign en Madrid
+ Play

La diferencia

 
Antes
Después
 
Antes
Después
Antes
Después
 
Antes
Después
Antes
Después
 
Antes
Después
Antes
Después
 
Antes
Después
Antes
Después

* El paciente ha dado su consentimiento para la publicación de este caso

Cita Clínica Dental Ferrus Bratos

¿Quieres conocernos personalmente?

REVISIÓN Y DIAGNÓSTICO GRATUITOS

Contacto

Otras historias

 
  • 1
  • 2
  • 3
  • 4
  • 5
  • 6
  • 7
  • 8
  • 9
  • 10
  • 11
  • 12
  • 13
  • 14
  • 15
  • 16
  • 17
  • 18
  • 19
  • 20
  • 21
  • 22
  • 23
  • 24
  • 25
  • 26
  • 27
  • 28
  • 29
  • 30
  • 31
  • 32
  • 33
  • 34
  • 35
  • 36