Caso antes y después de rehabilitación con prótesis dental híbrida en Madrid
La historia clínica de nuestro paciente:

Jacinto

+ Jacinto V. Paciente f&B
Leer más
Tratamiento realizado

Rehabilitación dental: prótesis híbrida sobre implantes

 
Doctores responsables:
 

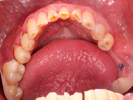
Jacinto vino a Ferrus & Bratos con una situación compleja: mostraba un número importante de ausencias dentarias, y las piezas dentales que permanecían en su boca presentaban fracturas, extensas lesiones cariosas y pérdida de soporte periodontal.

Analizando su caso, le propusimos una rehabilitación completa de la arcada superior con una prótesis híbrida sobre implantes. Con este plan de tratamiento queríamos alcanzar tres objetivos: mejorar su salud bucodental, facilitar el proceso de masticación y conseguir una oclusión perfecta y, por último, lograr un cambio significativo a nivel estético.

Jacinto aceptó el reto, animado por su mujer -también paciente de Ferrus & Bratos-. Ahora ya ha terminado el tratamiento, y dice notar grandes mejoras a la hora de comer y sentirse mucho más seguro de sí mismo con su nueva sonrisa.

 
Antes
Después
Antes
Después
Vídeo

La sonrisa de Jacinto

Experiencia de tratamiento de implantes en Madrid
+ Play

La diferencia

 
Antes
Después
 
Antes
Después
Antes
Después
 
Antes
Después
Antes
Después
 
Antes
Después
Antes
Después
 
Antes
Después
Antes
Después

* El paciente ha dado su consentimiento para la publicación de este caso

Cita Clínica Dental Ferrus Bratos

¿Quieres conocernos personalmente?

REVISIÓN Y DIAGNÓSTICO GRATUITOS

Contacto

Otras historias

 
  • 1
  • 2
  • 3
  • 4
  • 5
  • 6
  • 7
  • 8
  • 9
  • 10
  • 11
  • 12
  • 13
  • 14
  • 15
  • 16
  • 17
  • 18
  • 19
  • 20
  • 21
  • 22
  • 23
  • 24
  • 25
  • 26
  • 27
  • 28
  • 29
  • 30
  • 31
  • 32
  • 33
  • 34
  • 35
  • 36