Clínica dental especializada en tratamiento de blanqueamiento en Madrid
Tratamiento combinado: en clínica y en casa

Blanqueamiento dental

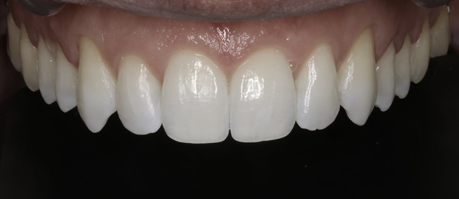
El blanqueamiento dental es uno de los tratamientos preferidos por los pacientes más exigentes con el aspecto de su sonrisa, ya que permite conseguir unos dientes visiblemente más blancos y brillantes en solamente un mes.

+ Sonrisa con blanqueamiento
Leer más

Aclara varios tonos el color original

El blanqueamiento dental es uno de los tratamientos preferidos por los pacientes más exigentes con el aspecto de su sonrisa, ya que permite conseguir unos dientes visiblemente más blancos y brillantes en solamente un mes.

Pide tu cita
gratuita

Comienza el cambio

Te ayudamos
En clínica y en casa

¿Qué es un blanqueamiento dental combinado?

El blanqueamiento dental es un tratamiento estético que permite aclarar varios tonos el color original de los dientes para que éstos tengan un aspecto más blanco y brillante. En nuestra clínica, llevamos a cabo un tratamiento combinado que tiene una duración total de un mes y consiste en desarrollar una parte del tratamiento en la consulta y otra en casa del paciente. Además, incluye una higiene profesional y un seguimiento para garantizar la eficacia de los resultados.

Ventajas del blanqueamiento dental combinado

Equipo de profesionales

Higienistas colegiadas

El tratamiento es pautado por un odontólogo especializado en Estética Dental y llevado a cabo por nuestras higienistas colegiadas. Dichas profesionales, que cuentan con más de ocho años de experiencia en este tipo de tratamientos, serán las encargadas de facilitarte los kits de blanqueamiento y de realizar la sesión con lámpara de luz fría.

Especialistas en blanqueamiento dental combinado en Madrid
+ María Pineño, higienista

¿En qué consiste el blanqueamiento combinado?

A continuación, te detallamos cómo se desarrolla el tratamiento en nuestra consulta y en casa del paciente:

  • Higiene profesional

    Una de las higienistas te realiza una limpieza profesional en la clínica para eliminar las manchas y tinciones superficiales. De esta manera, deja el diente preparado para la acción del blanqueamiento.

  • Férulas en casa

    Tras la higiene, te entregamos tu kit de férulas y jeringas con gel blanqueador para que las utilices durante unas horas cuando estás en casa. El primer kit lo utilizarás antes de la sesión de lámpara.

  • Lámpara en clínica

    Tras llevar las férulas durante 15 días, realizamos la sesión de lámpara de luz fría para potenciar la acción del gel blanqueador. Además, te entregamos el siguiente kit para que lo utilices otras dos semanas.

Pedir cita en Ferrus Bratos

¿Quieres aclarar el color de tus dientes?

Incluye una higiene profesional

Pide cita

¿Cómo se hace un blanqueamiento dental combinado?

Blanqueamiento dental paso a paso
+ Play

Casos reales

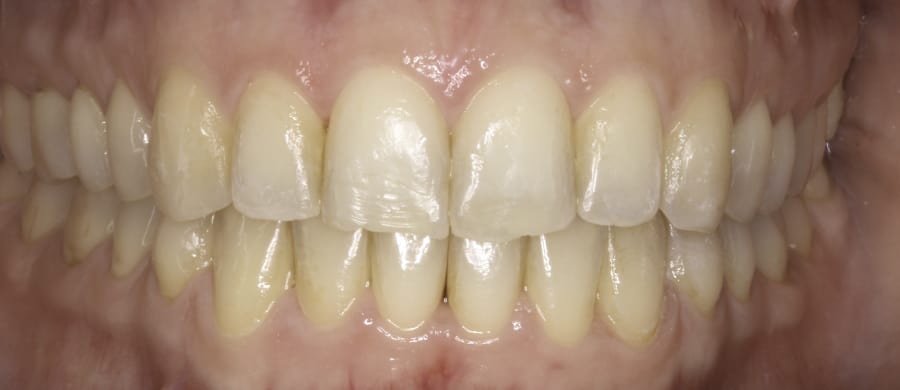
Te presentamos los casos de tres pacientes a los que tratamos con un blanqueamiento dental. Si deslizas las flechas, podrás ver el antes y el después de sus sonrisas:

  • Antes
    Después
    Antes
    Después
    La sonrisa de Daniel
  • Antes
    Después
    Antes
    Después
    La sonrisa de Sara
  • Antes
    Después
    Antes
    Después
    La sonrisa de Elena

10 razones por las que elegirnos

01. Profesionales especializadas

Contamos con un equipo de tres higienistas que están colegiadas y tienen mucha experiencia en el tratamiento que realizan, ya que se dedican exclusivamente a él. Además, están apoyadas por nuestros doctores especializados en Estética Dental, que son quienes pautan el procedimiento.

  • 02.
    Trabajamos coordinadamente

    Tanto en tu primera visita como en el desarrollo del tratamiento intervienen los expertos de otras áreas relevantes (Odontología Conservadora, Estética…).

  • 03.
    Docencia y formación continua

    Somos docentes en la Universidad, impartimos formación continua y participamos en congresos nacionales e internacionales de Odontología.

  • 04.
    Nuestros pacientes están satisfechos

    Los pacientes que tratamos comparten su satisfacción con nuestra clínica y nos recomiendan a sus familiares y amigos.

  • 05.
    Resultados óptimos

    No damos por finalizado un tratamiento hasta alcanzar un resultado óptimo: el que se había planificado y que es estable a largo plazo.

  • 06.
    Tradición familiar

    Somos la tercera generación de dentistas, por lo que estamos familiarizados con el servicio al paciente y priorizamos la salud.

  • 07.
    Todos los medios técnicos

    Contamos con la tecnología para realizar cualquier prueba en nuestra clínica (escáner intraoral 3D, TAC, software de diseño de sonrisa…)

  • 08.
    Marcas de eficacia demostrada

    Utilizamos un gel blanqueador de eficacia demostrada y una lámpara tecnológicamente muy avanzada que cumplen todas las normativas.

  • 09.
    Atención cercana y personalizada

    Contamos con un horario amplio e ininterrumpido y siempre te atendemos los mismos profesionales, ya que te conocemos y percibimos tus progresos.

  • 10.
    Y… muchas más comodidades

    Ofrecemos financiación del 100% de los tratamientos en 36 meses sin intereses, facilidades de pago, parking gratuito, etc.

Clínica dental para limpieza en Madrid

Aclara tus dientes y rejuvenece tu sonrisa

En solamente un mes

Pide cita

Lo que opinan nuestros pacientes

Implantes dentales
Ortodoncia
Estética Dental
Odontología general
Hemos aparecido en:
Colocación de implantes por ordenador

Preguntas frecuentes sobre el blanqueamiento dental

A continuación, te ofrecemos la respuesta a las seis preguntas sobre el blanqueamiento dental que más nos hacen nuestros pacientes:

  • ¿El blanqueamiento dental tiene alguna contraindicación?

    Aunque este tratamiento no presente, por lo general, grandes contraindicaciones, se deben tener en cuenta algunas de ellas. Por ejemplo, el blanqueamiento no está aconsejado en determinadas situaciones: mujeres embarazadas o en periodo de lactancia; menores de 18 años; personas que padezcan enfermedades periodontales, caries o fisuras; pacientes tratados con medicamentos para combatir la falta de hierro, etc.

    Cuando se presente alguna contraindicación, ésta se deberá valorar para determinar si se debe posponer el blanqueamiento –menores de edad y mujeres embarazadas o en periodo de lactancia, si se debe realizar algún tratamiento de saneamiento previo –enfermedades periodontales, caries…- o si se debe buscar una solución alternativa.

  • ¿A partir de qué edad se puede realizar un blanqueamiento dental?

    Siempre que no exista ninguna otra contraindicación que lo desaconseje, el blanqueamiento puede llevarse a cabo en cualquier persona mayor de 18 años.

    Esto se debe a que los dientes de pacientes más jóvenes están aún en fase de desarrollo. Por tanto, es preferible completar el desarrollo antes de iniciar el tratamiento.

  • ¿Puedo comer y beber con normalidad durante el blanqueamiento?

    Durante el tiempo que dura el tratamiento, alrededor de un mes, es importante reducir o evitar la ingesta de alimentos con coloración. Por ejemplo: café, té, vino tinto o rosado, tomate, vinagre de Módena, remolacha, cerezas, moras, frambuesas, espinacas, chocolate negro…

    De la misma manera, es recomendable no fumar, o reducir el hábito lo máximo posible, durante el tiempo que dura el tratamiento.

  • ¿El blanqueamiento daña o debilita los dientes?

    El blanqueamiento que llevamos a cabo en nuestra clínica no daña ni debilita los dientes, ya que el procedimiento está controlado en todo momento por un profesional especializado.

    Tanto el gel blanqueador como la lámpara cumplen todas las normativas. Además, el seguimiento que llevamos a cabo del paciente facilita que cualquier inconveniente sea reconocido de manera rápida.

    Por otro lado, algunos pacientes perciben un aumento de la sensibilidad dental durante el tiempo de tratamiento. Si te sucede esto, te aconsejamos que hables con el profesional que está llevando a cabo el blanqueamiento. Sin embargo, esto no debe ser preocupante ya que dicha sensibilidad es pasajera y cesa una vez que el tratamiento ha terminado.

  • ¿Todos los dientes se pueden aclarar varios tonos?

    Aunque hay algunos dientes que responden mejor al tratamiento blanqueador –depende fundamentalmente de su porosidad y de la causa que originó el cambio de color- por lo general se pueden conseguir resultados notables en cualquier paciente.

    Sin embargo, para obtener una orientación o una previsión sobre tu caso concreto, es recomendable que trates este tema con uno de nuestros especialistas en Estética Dental.

  • ¿Cuánto dura un blanqueamiento dental?

    Los resultados del blanqueamiento combinado que realizamos en Ferrus & Bratos pueden durar toda la vida, siempre y cuando se sigan las instrucciones pautadas por el profesional encargado del tratamiento.

    Es decir, para mantener el color blanco y brillante de por vida es necesario seguir unos buenos hábitos de higiene y someterse a mantenimientos regulares.

    Un mantenimiento no es lo mismo que un blanqueamiento, ya que el primero es un procedimiento más sencillo y únicamente requiere férulas, no lámpara de luz fría. La periodicidad del mantenimiento es diferente para cada persona pero, como norma general, suele llevarse a cabo cada tres o cuatro años.

Cómo llegar a la clínica

Calle de Caleruega, 67 3ª Planta A, 28033 Madrid

 

Si vienes en coche, recuerda que contamos con parking gratuito

¿Quieres que estudiemos tu caso?
Pide cita
Reserva tu cita